CT検査
INDEX
- 頭部・頸部
- 胸部・腹部・骨盤部
- 四肢
- 脈管系
- その他の腫瘤など
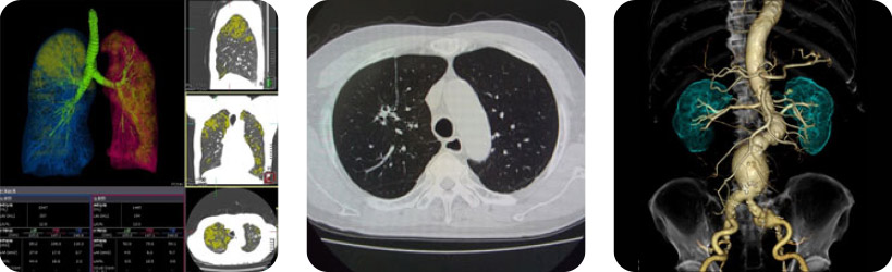
X線を使用して、身体の中の様子をコンピュータ処理して人体の精密な横断像(輪切り写真)を作り腫瘍や血管病変等を調べる検査です。当院では逐次近似法を用いて写真を作るため、従来の撮影に比べ少ない被ばく線量で検査が出来ます。


CT検査を受けられる方へ
CT検査とは
- 体の周りからエックス線をあて、体を通過したエックス線情報をコンピュータで解析し、連続した断層写真(輪切りの画像)を得る検査です。らせん状に連続撮影すること(ヘリカルスキャン)で全身を一度に検査することも可能です。輪切りの像だけでなく縦方向の像や横方向の像などあらゆる方向の画像を作ることができます。
- 病変を詳しく撮影するために、腕の静脈からヨード性造影剤という薬を注射しながら撮影することがあります。造影剤を用いることによって、病気の状態や血管や各臓器の血液の流れがわかりやすくなり、より正確な診断が可能になります。
- また、たくさんの薄い断層写真を得ることで、3D画像(立体的な画像)を作ることも可能です。
CT検査にかかる時間
- 通常検査の時間は約10分~20分程度です。また、体の静止と呼吸を止めていただく時間は、10秒前後です。
- 精密検査の場合には、撮影回数を増やしヨード性造影剤を注射する場合がありますので、検査時間が延びることがあります。担当の技師にお尋ねください。
注意事項
次項に該当する方は、検査ができない場合があります。
事前に主治医もしくは診療放射線技師にご確認ください。
- 妊娠、または妊娠の可能性がある
- 心臓ペースメーカや除細動装置(ICD)を装着している(手帳をお持ちください)
- 検査前1週間以内にバリウム検査を受けられた方
造影CT検査を受けられる方へ
造影剤による副作用
- 造影剤を注入すると少し体が熱く感じることがあります。
- 軽度の症状としては多いもので吐き気、嘔吐、かゆみ、じんましんなどがあります。検査中から1時間後くらいまでにおこることが多く、程度も軽いものがほとんどですが重篤なもので、血圧低下や呼吸困難などの症状が出る場合があります。
- 検査後1時間程度から数日後に、遅れて造影剤副作用が見られる場合があります。もしも遅発性副作用と思われる症状がありましたら、病院までお問い合わせください。
連絡先:(053-583-3111代表) - 検査中は主治医の指示のもと検査を行います。看護師が付き添いますのでお気軽にお声かけ下さい。
禁忌事項(造影)
次項に該当する方は、検査ができない場合があります。
事前に主治医もしくは診療放射線技師にご確認ください。
- 過去にヨード性造影剤に対する過敏症(吐き気、かゆみ)があった方。
- 気管支ぜんそくがある方。
- 糖尿病の治療薬をお飲みの方。
来院前
- 腹部検査、造影検査の場合、午前の検査は朝食を午後の検査は昼食を食べないでください。
- 特別指示のない場合は常用薬をご使用の方は、通常通り服用してください。
- 金属類所持(衣類)
- 食事制限
- 妊娠・妊娠の可能性
検査前
- 検査部位にあるアクセサリーなどの金属類、エレキバン、使い捨てカイロなどは外していただきます。
- 検査着に更衣が必要な場合もあります。技師の指示に従ってください。
- 造影検査の場合、喘息、アレルギー(食物、薬など)がある方は申し出てください。
- 予約時間15分前着
- 体外の金属類を外す
- 検査説明
検査中
- 検査用ベッドに横になり、しばらくすると撮影の合図とともにベッドが移動します。動かないで静かにしていてください。
- 息止めが必要な場合は合図をいたしますのでそれに合わせてください。
- 検査中は担当する技師とマイクを通して話ができます。何かあれば我慢せずにすぐに声に出してお知らせください。
- 撮影部位を確認するために、体に触れる場合があります。検査によっては体を固定させていただくことがあります。
- 造影剤を注入すると少し体が熱く感じますが、しばらくすると戻りますのでとくに心配することはありません。
- 静かにして動かない
- 検査時間10~20分
- マイクで話ができる
- 造影剤は熱く感じる
検査後
- 食事など、特に注意していただくことはありません。他の検査がある場合はその検査の注意点(飲食、排尿など)をご確認ください。
- 造影剤を使用した場合は、造影剤は尿になって出ます。早く排泄するために、水分制限がなければ、水分を普段より多めにとるようにしてください。
- 稀に遅発性の副作用が起こる場合があります。何かありましたらご連絡ください。
(連絡先:(053-583-3111代表)) - お忘れ物のないようご注意ください。検査の結果は診察の際に医師に直接ご確認ください。
- 生活に制限なし
- 造影検査:水分をとる
- 検査:主治医より
※検査や治療の内容によって手順が異なる場合があります。
主治医や担当したスタッフからお話しされた内容をご確認ください。
主治医や担当したスタッフからお話しされた内容をご確認ください。

